
Supplements and Featured Publications
- Examining Quality of Life and Treatment Options for Fibrodysplasia Ossification Progressiva and Multiple Osteochondromas
Examining Quality of Life and Treatment Options for Fibrodysplasia Ossificans Progressiva and Multiple Osteochondromas
This publication was sponsored by Ipsen Pharma.
Fibrodysplasia ossificans progressiva (FOP) and multiple osteochondromas (MO) are 2 rare and debilitating bone disorders that can have a serious impact on the quality of life (QOL) of those individuals who are affected. FOP is an ultra-rare, progressive, disabling connective tissue disorder in which bone grows in abnormal places in the body. This process, known as heterotopic ossification (HO), severely and permanently reduces movement.1,2 MO, also known as hereditary multiple osteochondromas, multiple hereditary exostoses, and hereditary multiple exostoses, is a rare genetic musculoskeletal condition. In MO, numerous osteochondromas, also known as osteocartilaginous exostoses, or simply exostoses, form on bones. Although the tumors are usually benign, they compromise function and well-being by impinging on surrounding tissue, affecting form and function. MO is autosomal dominant and primarily inherited, but spontaneous cases can also occur.3,4
According to the International Fibrodysplasia Ossificans Progressiva Association (IFOPA), FOP theoretically affects 1 in 2,000,000 people; however, based on their findings, they suggest the number might be closer to 1 in 1,500,000 people. IFOPA has identified 834 individuals living with FOP in the world.5 The prevalence of MO, like that of FOP, is low; however, investigators posit that the usual numbers cited are underestimated. One study posited that the prevalence of MO in Washington state was at least 1 in 50,000; however, not all cases were deemed to be captured.4 In addition, among certain isolated communities, such as the Chamorros of Guam, the prevalence may be even higher; investigators found 21 cases among the 32,000 Chamorros.6
CLINICAL BACKGROUND OF FIBRODYSPLASIA OSSIFICANS PROGRESSIVA
FOP and MO can profoundly impact the QOL of those individuals who are affected, underscoring the importance of clinical awareness of the diseases.FOP is caused by a mutation, usually spontaneous, to chromosome 2q23-24 in the area surrounded by markers D2S1399 and D2S1238.7 This mutation impacts the activin A type 1 receptor gene, altering Activin Receptor Type IA (ACVR1), a receptor in the bone morphogenetic protein signaling pathway.7 The disease can be the result of a new mutation or it can be familial, as evidenced in the results of 2 studies: one, of 28 patients with FOP by Smith and colleagues, found that none of the patients studied had a family history of myositis or atypical skeletal findings8; and another by Connor and colleagues who, conversely, studied a family with 3 generations of individuals with FOP.9
The disease manifests with characteristic signs at birth. The classic signs are malformed big toes and hallux valgus. In a study by Connor and Evans, and another study by Harrison et al, all patients had these abnormalities.10,11 Another common finding, malformed thumbs due to short first metacarpals, was found in 59% of patients (20 of 34) in the same study.10 Although the investigators were uncertain whether the deformities were present at birth, radiographs performed early in childhood of patients in the study revealed cervical vertebrae with abnormally small bodies, enlarged spinous processes, and large pedicles; as patients aged, bony ankylosis in the cervical spine was also common.10
Recognizing the classic skeletal abnormalities—hallux valgus and the malformed big toes and thumbs—as well as the tumor-like swellings are critical to the clinical diagnosis of FOP (
As patients with FOP age, they experience flare-ups consisting primarily of pain, swelling, and stiffness. Approximately 50% of patients in the Connor and Evans study reported pain associated with flare-ups, and 25% noted overlying erythema.10 The results of a survey study of patients with FOP by Pignolo et al indicated that swelling occurred in 93.1% of respondents during a flare-up, with the next most common flare-up symptom being pain (86.3%), and the third most common symptom being decreased movement (78.5%). Symptoms that most reliably predicted a flare-up were new swelling (39%) and pain (29%).13 Based on these findings, the study investigators advised that major criteria for a flare-up diagnosis should be 2 days of pain and swelling, with supporting features including warmth, stiffness, redness, and decreased movement.13
PROGRESSION OF FIBRODYSPLASIA OSSIFICANS PROGRESSIVA
Flare-ups can occur with or without cause. Patients with FOP surveyed in the Pignolo et al study reported that up to 61% of flare-ups had no precipitating factor. When a flare-up was associated with a trigger, about 88% were reported to occur because of limb overuse, a viral infection, or an injury. In about 25% of flare-ups, the reported cause was intramuscular (IM) immunization, which resulted in bone formation in 84.3% (97 of 115) of patients.13 Additional triggers of abnormal bone formation reported by Connor et al (1982) included trauma, surgery, biopsies, dental work, incautious blood draws, and IM injections.10 FOP is disease is progressive and disabling,8,13 and the nature of the disease leads to low reproductive fitness.14 As the swelling associated with a flare-up regresses, it leaves stiffness and new bone that permanently decrease range of motion.10 According to Connor and Evans, areas most prone to ossification were found to be the paraspinal muscle connective tissue, the muscles of mastication, and the limb girdle muscles. Other commonly involved foci were the plantar fasciae, joint capsules, and ligaments.10
To further assess the nature of ossification in patients with FOP, Cohen et al administered a questionnaire to 60 patients who were members of the IFOPA (
Connor and Evans reported similar results. By age 10 years, all patients in the study had stiffness in the shoulders and spine; by age 20 years, most patients had problems with 1 or both hips; and by age 30 years, most could not leave their chair or bed. Furthermore, all patients in the study had decreased range of motion in their shoulders or spine, and 71% had an affected jaw. Bone formation in the musculature and joint capsules deprived every patient of normal movement and left them with physical handicap.10
Thirty months of self-reported patient registry data for 99 patients with FOP from the IFOPA and analyzed by Peng et al indicated that 56% to 67% of patients reported moderate to severe pain (≥4 on a scale of 0 to 10) during a flare-up, and a large proportion—30% to 55%—also reported similar pain when they were not experiencing a flare-up. Forty-five percent to 74% of patients reporting moderate to severe pain also reported depression, anxiety, and irritability, while 36% to 48% of those reporting no to mild pain still reported emotional problems. Neuropathic pain was reported by 13% of respondents. QOL inversely correlated with pain severity.16
Despite usually worsening FOP, surgery is sometimes required. In a systematic review of the literature, Eekhoff et al found a 100% chance of HO after jaw surgery,17 and the results of a 2005 study based on a questionnaire sent to 269 patient-members of the IFOPA by Kitterman et al found that 35% of patients who had been biopsied and 60% of patients who had undergone surgery suffered permanent complications.12
TREATMENT OF FIBRODYSPLASIA OSSIFICANS PROGRESSIVA
The leading cause of mortality in patients with FOP (54%), as reported by Kaplan et al, was found to be cardiorespiratory failure resulting from thoracic insufficiency syndrome. The next most common cause was pneumonia (15%), and the third most common cause was complications from a fall (11%). The median age of death were 42, 40, and 41 years old for those who died of cardiorespiratory failure, pneumonia, and fall complications, respectively.18Current treatments for FOP focus on managing the symptoms of flares and include steroids and nonsteroidal anti-inflammatory drugs. Among patients with FOP surveyed by Pignolo et al, more than half (55%) of respondents reported that prednisone sometimes improved symptoms correlating with flare-ups, while 30.5% reported it always did. Approximately 82% reported that prednisone decreased flare-up swelling, and about 67% reported that prednisone helped control pain; however, 43% reported rebound after finishing steroid treatment. Preservation of joint function and inhibition of HO was found to be infrequent with prednisone use. Less than half reported the use of ibuprofen (33%) and 23% reported using montelukast, a leukotriene receptor antagonist.13
There is a role for antibiotics and for modification of the patient’s environment in the management of patients with FOP. Current treatment considerations from the International Clinical Council (ICC) on FOP and consultants, indicate that patients with an ankylosed jaw who are vomiting, for instance, should be given empiric antibiotics to cover for aspiration pneumonia. According to ICC, patients with FOP should also start antibiotics according to CDC recommendations when they are suspected of having, or have been exposed to, pertussis. This is due to the modified immunization schedules recommended by ICC for patient with FOP.2
Additional recommendations from the ICC to attempt to prevent disease progression and/or complications of the disease include incentive spirometry and “vigorous vocalizations” to maintain respiratory health. Because patients with FOP may not have the freedom of motion necessary to break falls in the event that they happen, the patients can suffer from severe head injuries. Therefore, the ICC recommends that patients with FOP use medical devices such as a cane or walker to maintain balance, wear a helmet as head protection in case of falls, and modify their environment to reduce conditions that can lead to falls.2
CLINICAL BACKGROUND ON MULTIPLE OSTEOCHONDROMAS
Currently, no approved treatments exist for FOP. Investigational drugs include retinoic acid receptor gamma agonists, selective ACVR1/ALK2 signal transduction inhibitors, and monoclonal antibodies targeting Activin A. Other investigational drugs include mTOR inhibitors and monoclonal antibodies against ACVR1/ALK2.2MO is caused by mutations to genes EXT1 or EXT2.19-22 Unlike FOP, most cases of MO are inherited, but some are spontaneous. The results of a study by Schmale et al found that although 90% of cases were hereditary, 10% of patients with MO lacked a family history of the disease.4
Almost all patients with MO are diagnosed in childhood. In the Schmale study, the average age of onset was 4 years (SD, ± 1 year), with the time of diagnosis ranging from birth to age 12 years.4 Diagnosis is clinical; it is based on MO developing from the growth plate or flat bone surface, and on a family history suggesting autosomal dominant inheritance.19 The differential diagnosis includes solitary osteochondroma, as well as inherited conditions with MO: metachondromatosis, Langer-Giedion syndrome, and 11p11 deletion syndrome.19
Genetic testing can be performed to confirm the diagnosis. Because pathogenic EXT1 variants are more common than EXT2 pathogenic variants, testing for EXT1 should be done first. Deletion/duplication analyses can be pursued for both genes if sequence analyses do not pinpoint a pathogenic variant for EXT1 or EXT2.19
PROGRESSION OF MULTIPLE OSTEOCHONDROMAS
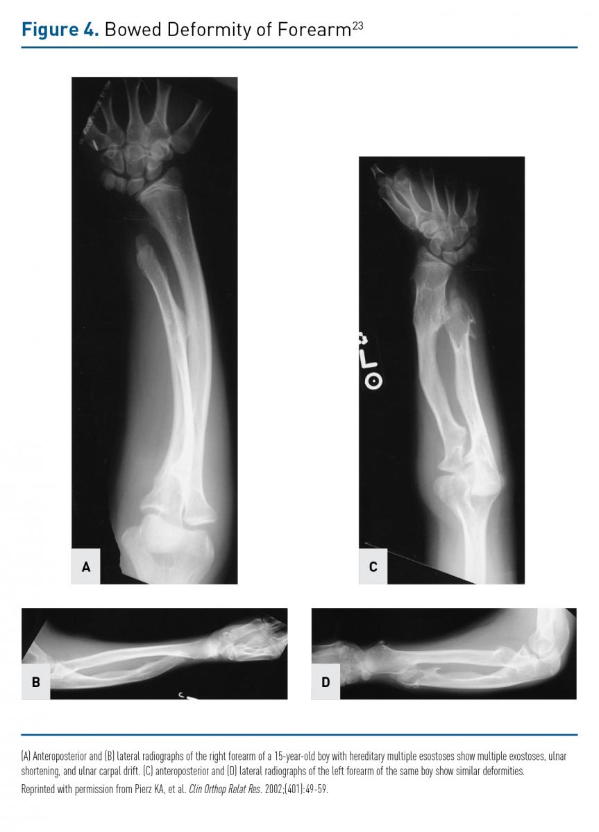
The MO osteochondroma usually presents as a thickened metaphysis with overlying cartilage (
In their study on the natural history of MO, Wicklund et al enrolled 180 patients: 43 probands and 137 affected relatives. More males than females were identified, and males had significantly more exostoses removed than females (5.3 vs 1.0, respectively; P = .01). For patients 21 years and older, the number of exostoses removed ranged from 0 to 20 (mean, 3.5). The most common removal sites were the tibia, knee, femur, and humerus. The investigators believed more males than females were identified because the males more often sought out medical attention; there was no biologic reason for the gender skew.25
Osteochondromas can also impact height, joints, nerves, blood vessels, and organs. A substantial portion of adult males (36.8%) and females (44.2%) included in the Wicklund et al study were below the fifth percentile for height; arthritis occurred in 19 cases (14%). The mean onset age was 36 years. Compressions in various areas occurred: of the peripheral nerves, 36 cases (22.6%); of the blood vessels, 8 cases (11.3%); and of the spinal cord, 1 case (0.6%).25
Osteochondromas have been shown to affect patients in other areas as well. A study by Hattori reported on a patient with MO who developed sudden pain in her right medial thigh after playing volleyball. On physical examination, the patient had a tender, hard, swollen mass in the same area. Surgery revealed that the saphenous nerve was stretched and displaced by an osteochondroma in a bursa. Once the osteochondroma and bursa were removed, the patient’s pain eventually resolved.26 Furthermore, in Solomon’s series, 1 patient died from renal failure secondary to urinary obstruction from a large pelvic exostosis,24 and in the Wicklund study, of the 38 women who had given birth, 63.2% had cesarean deliveries. For approximately 30% of those women, the reason was pelvic exostoses.25
TREATMENT OF MULTIPLE OSTEOCHONDROMAS
There is also a small risk of malignant change in MO. In the Wicklund study, 5 cases (2.9%) of cancer were reported, with 1 diagnosis of osteosarcoma and 4 diagnoses of chondrosarcoma.25 Furthermore, the results of a web-based survey of respondents contacted through social media networks and online support groups for people with MO and their families by Czajka and DiCaprio indicated that of the 757 respondents, 21 (2.7%) had tumors that had undergone malignant transformation.27In appropriate cases, surgery can be used to prevent progression and resolve deformities, according to Stieber and Dormans.3 And, Wuyts et al found that, for painful osteochondromas that have not deformed the bone, surgery can be performed to excise the lesion. To make sure the osteochondroma does not recur, the cartilage cap and perichondrium should be included in the excision. Forearm deformity correction is achieved by removing the osteochondroma, lengthening the ulna, and performing an osteotomy. Leg deformity can also be corrected with osteotomy or techniques to guide bone growth. When 1 leg is more than 2.5 cm longer than the other, the shorter leg can be lengthened, or growth plate arrest can be used to stop the longer leg from growing. Malignant lesions are removed.19
Many patients with MO suffer from pain, which impacts their QOL. A national cohort study of Dutch patients (N = 283; 99 children and 184 adults) that used an age-specific questionnaire found that 63% of children and 83% of adults had experienced pain within the 30 days leading up to completing the questionnaire. In adults, pain was associated with deformities, work problems, and age. When the patient had problems at work, the odds of having pain were 1.626 times higher than in those with no work problems. In addition, the chance of having pain was higher (10.6 times), per 10 years, in younger than older patients. Twenty-one percent of children reported that pain interfered with sleeping, and 13% reported regularly taking medication to control pain. In children reporting problems at school, the odds of them reporting pain were 3.48 times higher than in those who did not report school problems. Of the patients completing the RAND-36, a health survey, patients reported significantly worse physical functioning, social functioning, role limitations—physical, vitality, pain, and general health than the control populations.28
The results of a questionnaire to evaluate the nature of pain in people with MO by Darilek et al found that of the respondents (293/755), most patients (80.2%) reported having had at least 1 surgery. About half (51.2%) reported having 1 to 5 surgeries, 17.1% reported 6 to 10 surgeries, 6.1% reported 11 to 15 surgeries, 1.7% reported 16 to 20 surgeries, and 4.1% reported more than 20 surgeries. In addition, 74.1% reported complications from MO, with the most common complication in this study being compression of tendons, muscles, and ligaments (64.2%). The next most common complication (43.3%) was compression of nerves. More than 80% of patients reported current pain, with about 30% reporting mild, 26.1% reporting moderate, and 20% reporting severe. At the upper end, pain occurred every day in 45.3% of patients; at the other end of the continuum, 28.2% reported pain 1 to 9 days a month.29
IMPACT ON QUALITY OF LIFE
Of those reporting pain, 74% took pain medication; 17% used a prescription narcotic. Of patients with pain, significantly more had complications due to MO (P <.001), notably tendon, muscle, or ligament compression (P <.001), and nerve compression (P <.001). Significantly more patients with pain had surgery (P <.001). Those more likely to have pain included those with complications from MO—5 times more likely—and those who underwent surgery—3.8 times more likely. Patients with pain also reported that the pain interfered with general activity, sleep, social interactions, and mood, with interference ratings of none, mild, moderate, and severe. The percentage of people with pain reporting mild-to-severe interference are as follows: for general activity, approximately 84%; for sleep, approximately 78%; for social interactions, approximately 79%; and for mood, approximately 82%.29Incorrect or delayed diagnosis has a profound impact on patients’ QOL in both diseases. Of the 138 respondents (78 female; 60 male) in the study by Kitterman et al, only 13% reported that FOP was the first diagnosis. About one-third (37%) reported being diagnosed with fibromatosis or cancer, and the diagnosis trailed the onset of symptoms by a mean of 4.1 years (SD, ± 7.9 years).12
A study by Ortiz-Agapito and Colmenares-Bonilla addressed QOL in patients with FOP in Latin America through a cross-sectional study using the Medical Outcomes Study 36-item Short Form (SF) 36. For the 8 patients included in the study (2 male; 6 female) the mean age at diagnosis was 17.6 years, although first symptoms were recalled to occur by age 3 to 6 years. Six of the 8 patients had each had more than 4 surgeries, including biopsies of the skin and bone, and osteotomies. Every patient had a history of biopsy to evaluate the tumor, which led to more abnormal bone formation and disability. The SF-36 results revealed scores for physical function ranging from 0 to 35. The 2 patients who reported 0 were wheelchair-bound and almost totally reliant on others. None of the scores reached the mean minimum score for the “normal” population. Pain scores ranged from a low of 10 to a high of 84, and mental health scores ranged from 40 to 100.30
To understand what might be responsible for delays in the diagnosis of FOP, Kitterman and team reviewed medical textbooks to evaluate their inclusion and handling of FOP. They found that 61% of metabolic bone disease textbooks reviewed FOP, but few pediatrics, internal medicine, podiatry, oncology, pediatric oncology, or neonatology books did so. They also found that only 8% of the 184 textbooks advised that trauma will more than likely worsen HO, causing irreversible loss of function.12
Measurements of QOL in patients with MO have shown similarly low results. In a study of 50 patients with MO by D’Ambrosi et al, the investigators found that the mean number of surgeries to treat exostoses, per patient, was 5.62 (SD, ± 5.74). In addition, a significant correlation was found between the number of surgeries and pain levels as quantified on the visual analogue scale (P <.0011). Using the SF-12 health survey questionnaire, investigators found that mental component summaries were similar to those of people with osteoarthritis, and the physical component summaries were similar to those of people with tumors or diabetes.31
CONCLUSIONS
To evaluate health-related QOL, Chhina et al studied 100 adults and children with MO using the Child Health Questionnaire Parent Form 50, SF-36, and SF-6D. On the SF-36, adults with MO scored lower in every category, except for role limitations, compared with adults without MO. On the SF-6D, responses ranged from 26% reporting pain interfering with work to 100% reporting the inability to accomplish as much as desired because of emotional problems. On the Child Health Questionnaire, affected children scored lower than the comparison group, especially for self-esteem (52.0 vs 79.8, respectively) and physical pain (51.2 vs 81.7, respectively).32FOP and MO are 2 rare genetic conditions resulting in abnormal bone growth, and they can have serious negative impact on patients’ QOL. In FOP, HO can progressively lock the body into place, resulting in cumulative disability. The enchondromas of MO can also deform the body, resulting in substantial pain, need for surgeries, and decreased QOL. Clinical trials are ongoing and may lead to treatments that change the course of these diseases. •
REFERENCES
1. Kaplan FS, Glaser DL, Shore EM, et al. The phenotype of fibrodysplasia ossificans progressiva. Clin Rev Bone Miner Metab. 2005;3(3-4):183-188.
2. International Clinical Council on FOP (ICC); Kaplan FS, Al Mukaddam M, Baujat G, et al. The medical management of fibrodysplasia ossificans progressiva: current treatment considerations. Proc Intl Clin Council FOP. 2019;1:1-111. assets.nationbuilder.com/ifopa/pages/790/attachments/original/1552401453/FOP_TREATMENT_GUIDELINES_3819_FINAL.pdf?1552401453.
3. Stieber JR, Dormans JP. Manifestations of hereditary multiple exostoses. J Am Acad Orthop Surg. 2005;13(2):110-120.
4. Schmale GA, Conrad EU 3rd, Raskind WH. The natural history of hereditary multiple exostoses. J Bone Joint Surg Am. 1994;76(7):986-992. doi: 10.2106/00004623-199407000-00005.
5. Liljesthröm M, Bogard B. The global known FOP population. Poster presented at: FOP Drug Development Forum; October 24-25, 2016; Boston, MA.
6. Krooth RS, Macklin MT, Hilbish TF. Diaphysial aclasis (multiple exostoses) on Guam. Am J Hum Genet. 1961;13:340-347.
7. Shore EM, Xu M, Feldman GJ, et al. A recurrent mutation in the BMP type I receptor ACVR1 causes inherited and sporadic fibrodysplasia ossificans progressiva. Nat Genet. 2006;38(5):525-527. doi: 10.1038/ng1783.
8. Smith R, Athanasou NA, Vipond SE. Fibrodysplasia (myositis) ossificans progressiva: clinicopathological features and natural history. QJM. 1996;89(6):445-446. doi: 10.1093/qjmed/89.6.445.
9. Connor JM, Skirton H, Lunt PW. A three generation family with fibrodysplasia ossificans progressiva. J Med Genet. 1993;30(8):687-689. doi: 10.1136/jmg.30.8.687.
10. Connor JM, Evans DA. Fibrodysplasia ossificans progressiva. the clinical features and natural history of 34 patients. J Bone Joint Surg Br. 1982;64(1):76-83.
11. Harrison RJ, Pitcher JD, Mizel MS, Temple HT, Scully SP. The radiographic morphology of foot deformities in patients with fibrodysplasia ossificans progressiva. Foot Ankle Int. 2005;26(11):937-941.
12. Kitterman JA, Kantanie S, Rocke DM, Kaplan FS. Iatrogenic harm caused by diagnostic errors in fibrodysplasia ossificans progressiva. Pediatrics. 2005;116(5):e654-e661. doi: 10.1542/peds.2005-0469.
13. Pignolo RJ, Bedford-Gay C, Liljesthröm M, et al. The natural history of flare-ups in fibrodysplasia ossificans progressiva (FOP): a comprehensive global assessment. J Bone Miner Res. 2016;31(3):650-656. doi: 10.1002/jbmr.2728.
14. Shore EM, Feldman GJ, Xu M, Kaplan FS. The genetics of fibrodysplasia ossificans progressiva. Clin Rev Bone Miner Metab. 2005;3:201—204.
15. Cohen RB, Hahn GV, Tabas JA, et al. The natural history of heterotopic ossification in patients who have fibrodysplasia ossificans progressiva. a study of forty-four patients. J Bone Joint Surg Am. 1993;75(2):215-219. doi: 10.2106/00004623-199302000-00008.
16. Peng K, Cheung K, Lee A, Sieberg C, Borsook D, Upadhyay J. Longitudinal evaluation of pain, flare-up, and emotional health in fibrodysplasia ossificans progressiva: analyses of the International FOP Registry. JBMR Plus. 2019;3(8):e10181. doi: 10.1002/jbm4.10181.
17. Eekhoff EMW, Netelenbos JC, de Graaf P, et al. Flare-up after maxillofacial surgery in a patient with fibrodysplasia ossificans progressiva: an [18F]-NaF PET/CT study and a systematic review. JBMR Plus. 2017;2(1):55-58. doi: 10.1002/jbm4.10008.
18. Kaplan FS, Zasloff MA, Kitterman JA, Shore EM, Hong CC, Rocke DM. Early mortality and cardiorespiratory failure in patients with fibrodysplasia ossificans progressiva. J Bone Joint Surg Am. 2010;92(3):686-691. doi: 10.2106/JBJS.I.00705.
19. Wuyts W, Schmale GA, Chansky HA, Raskind WH. Hereditary multiple osteochondromas. In: Adam MP, Ardinger HH, Pagon RA, et al, eds. GeneReviews [internet]. Seattle, WA: University of Washington, Seattle; 1993-2019.
20. Le Merrer M, Legeai-Mallet L, Jeannin PM, et al. A gene for hereditary multiple exostoses maps to chromosome 19p. Hum Mol Genet. 1994;3(5):717-722. doi: 10.1093/hmg/3.5.717.
21. Cook A, Raskind W, Blanton SH, et al. Genetic heterogeneity in families with hereditary multiple exostoses. Am J Hum Genet. 1993;53(1):71-79.
22. Beltrami G, Ristori G, Scoccianti G, Tamburini A, Capanna R. Hereditary multiple exostoses: a review of clinical appearance and metabolic pattern. Clin Cases Miner Bone Metab. 2016;13(2):110-118. doi: 10.11138/ccmbm/2016.13.2.110.
23. Pierz KA, Stieber JR, Kusumi K, Dormans JP. Hereditary multiple exostoses: one center’s experience and review of etiology. Clin Orthop Relat Res. 2002;(401):49-59. doi: 10.1097/00003086-200208000-00008.
24. Solomon L. Hereditary multiple exostosis. J Bone Joint Surg. 1963;45B(2):292-304.
25. Wicklund CL, Pauli RM, Johnston D, Hecht JT. Natural history study of hereditary multiple exostoses. Am J Med Genet. 1995;55(1):43-46. doi: 10.1002/ajmg.1320550113.
26. Hattori H, Asagai Y, Yamamoto K. Sudden onset of saphenous neuropathy associated with hereditary multiple exostoses. J Orthop Sci. 2006;11(4):405-408. doi: 10.1007/s00776-006-1029-6.
27. Czajka CM, DiCaprio MR. What is the proportion of patients with multiple hereditary exostoses who undergo malignant degeneration? Clin Orthop Relat Res. 2015;473(7):2355-2361. doi: 10.1007/s11999-015-4134-z.
28. Goud AL, de Lange J, Scholtes VA, Bulstra SK, Ham SJ. Pain, physical and social functioning, and quality of life in individuals with multiple hereditary exostoses in The Netherlands: a national cohort study. J Bone Joint Surg Am. 2012;94(11):1013-1020. doi: 10.2106/JBJS.K.00406.
29. Darilek S, Wicklund C, Novy D, et al. Hereditary multiple exostosis and pain. J Pediatr Orthop. 2005;25(3):369-376. doi: 10.1097/01.bpo.0000150813.18673.ad.
30. Ortiz-Agapito F, Colmenares-Bonilla D. Quality of life of patients with fibrodysplasia ossificans progressiva. J Child Orthop. 2015;9(6):489-493. doi: 10.1007/s11832-015-0704-6.
31. D’Ambrosi R, Ragone V, Caldarini C, Serra N, Usuelli FG, Facchini RM. The impact of hereditary multiple exostoses on quality of life, satisfaction, global health status, and pain. Arch Orthop Trauma Surg. 2017;137(2):209-215. doi: 10.1007/s00402-016-2608-4.
32. Chhina H, Davis JC, Alvarez CM. Health-related quality of life in people with hereditary multiple exostoses. J Pediatr Orthop. 2012;32(2):210-214. doi: 10.1097/BPO.0b013e31823ee31c.
Newsletter
Stay ahead of policy, cost, and value—subscribe to AJMC for expert insights at the intersection of clinical care and health economics.















































