
Conference Coverage
Latest Content

Shorts










Podcasts
Center on Health Equity & Access
Continuing Medical Education
All News

Experts convened in Cleveland, Ohio, on November 11, 2025, to discuss the evolution of cardio-renal-metabolic care from treatment of individual diseases to team-based, population-focused care.

Clascoterone 5% topical solution shows promise as a new treatment for male androgenetic alopecia, offering significant hair growth improvements with minimal side effects.

A recent study compares AI models DeepSeek-R1 and ChatGPT-4o in providing accurate, accessible information on urticaria, with DeepSeek showing superior performance.

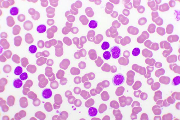
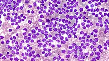
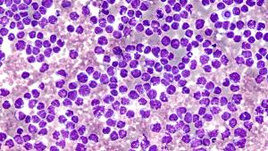
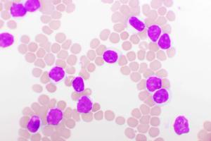
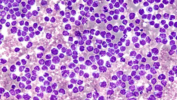
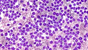
Pirtobrutinib significantly improved progression-free survival in treatment-naïve CLL compared with bendamustine plus rituximab.

Value-based care adoption in employer insurance requires replacing fragmented point solutions with unified, at-risk performance contracts that align vendors, providers, and members around total cost and quality goals.

Self-insured employers face regulatory challenges when adopting value-based contracts, requiring careful data governance, standardized metrics, and legal frameworks to align with federal value-based care models.

Employers struggle to define value from health care spending amid complexity and misaligned incentives. Achieving measurable outcomes requires transparency, incentive realignment, and gradual, employee-centered change.

A large review identifies 70 safety signals for bimekizumab, confirming known risks while revealing previously unreported adverse events.

Semaglutide, sotatercept, and bentracimab trials were attendees’ main focus at the American College of Cardiology 2025 Annual Scientific Session.

Artificial intelligence and lung cancer highlighted the top conference coverage from the Association of Cancer Care Centers Annual Meeting in Washington, DC.

























































