
The CDC made this recommendation after reviewing relevant literature and noting that complete testing jumped from about only two-thirds of patients to nearly all patients.

The CDC made this recommendation after reviewing relevant literature and noting that complete testing jumped from about only two-thirds of patients to nearly all patients.

Researchers discuss the case of a 32-year-old patient who is being treated with ruxolitinib over a period of years to treat steroid refractory graft-versus-host disease.

A recent review discussed how to manage comorbid cardiovascular disease in patients with chronic obstructive pulmonary disease (COPD).

Using composite endpoints to predict clinically important deterioration in chronic obstructive pulmonary disease (COPD) could help investigators assess disease activity in clinical trials and better manage individual patients, according to a recent study.

The focus on curbing COPD prevalence has largely focused on smoking cessation, but there are other factors, including diet, that can contribute to the risk of developing COPD.

Investigators used death certificate data to determine the annual average decline of deaths attributed to systemic sclerosis.

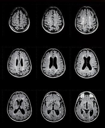
The study authors tested the risk-reducing effects of ocrelizumab compared with interferon β-1a for treatment of multiple sclerosis disability accumulation, with ocrelizumab showing better results in lowering disability accumulation scores.

Inhaled corticosteroids for patients with chronic obstructive pulmonary disease (COPD) may curb lung function decline, according to new research.

Today, there is a broader understanding of asthma, including the genetic, environmental, and host-related factors that contribute to declining lung function in patients.

Relying on one type of study often doesn’t paint the full picture of drug safety, efficacy, and economic and therapeutic benefits across the short and long term, the authors of the study wrote.

The study sought to determine whether patient-reported outcomes are linked with death beyond clinical risk factors in patients with idiopathic pulmonary fibrosis (IPF).

Danish investigators reviewed data of individuals prescribed inhaled corticosteroids (ICS) for chronic obstructive pulmonary disease (COPD) to compare characteristics of patients who have COPD alone with those who have COPD and concomitant asthma.

While both subcutaneous and sublingual administrations of allergen immunotherapy reduced rhinitis medication in patients, adherence was significantly higher for those receiving it subcutaneously.

Pulmonary rehabilitation can offer many of the same ideas to patients that cognitive behavioral therapy (CBT) can, even inadvertently, the study authors said.

Cost savings are likely to occur should payers switch from originator bevacizumab or rituximab to their respective biosimilars, according to research from 2 studies presented at the Virtual 2020 International Society for Pharmacoeconomics and Outcomes Research (ISPOR) meeting.

Exacerbations of patients with chronic obstructive pulmonary disorder (COPD) can be costly if they are frequent, and early detection programs for COPD may help offset these costs, according to research from 2 studies presented at the 2020 International Society for Pharmacoeconomics and Outcomes Research (ISPOR) virtual conference.

Although the total cost of asthma was more than $80 billion in 2013, the expansion of Medicaid in 2014 aided patients with asthma, according to 2 studies presented at the 2020 International Society for Pharmacoeconomics and Outcomes Research (ISPOR) virtual conference.

Two studies presented at the Virtual 2020 ISPOR conference examined health care resource utilization and health-related quality of life in interstitial lung disease.

When should a child with asthma be considered for biologic therapy? It's important to get the basics right first, argues the author of a recent paper.

Biosimilar developers can assuage some physician—and even patient—concerns through coordinated, evidence-based messaging.

Chronic breathlessness not only affects patients with chronic obstructive pulmonary disease (COPD) but also their caregivers, who are mostly women, according to a recent review.

The investigators made a presumptive diagnosis of acute interstitial pneumonia after the patient presented with fever, chills, muscle pain and a dry cough, which deteriorated into respiratory failure, soon after the woman ran a half marathon.

Patients with multiple sclerosis (MS) had a 3.5-fold increase in all-cause mortality and a 1.5-fold increase in cardiovascular disease mortality, compared with those without MS, even after controlling for traditional risk factors, and women were more at risk than men. Statins were linked with lowering the mortality risk.

The patients selected for bronchoscopic lung volume reduction were younger compared with those who were not, the investigators said.

Restrictions on the sale and marketing of e-cigarettes containing nicotine are less strict in Canada and the United States compared with England.

Patient survival following acute exacerbation depended on the pulmonary fibrosis type of the patient, according to the paper.

Those who lived alone had more risk for respiratory disease hospitalization compared with those who did not, the study authors said.

Compared with patients with low stress, patients with chronic obstructive pulmonary disease (COPD) and high stress had doubled odds of using acute care services, a new study found.

What relationship does the existence of comorbidities have on multiple sclerosis-related hospitalizations?

High-flow nasal therapy (HFNT), often used for stable patients, can reduce hospital readmission for acute exacerbations for chronic obstructive pulmonary disease (COPD).

Published: February 14th 2020 | Updated:

Published: February 22nd 2020 | Updated:

Published: February 22nd 2020 | Updated:

Published: February 29th 2020 | Updated:

Published: March 4th 2020 | Updated:

Published: March 7th 2020 | Updated:

259 Prospect Plains Rd, Bldg H
Cranbury, NJ 08512
© 2025 MJH Life Sciences®
All rights reserved.
