
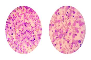
Researchers of a new study explore what areas of chronic lymphocytic leukemia (CLL) treatment and care are important to patients and identify key areas for improvement.
Kimberly Rath, PharmD, is a freelance health writer who previously worked as a clinical pharmacist with Elevance Health for a decade. She has also worked for Amerigroup and Sentara Group.

Researchers of a new study explore what areas of chronic lymphocytic leukemia (CLL) treatment and care are important to patients and identify key areas for improvement.

A new case report details the successful use of efgartigimod as a rescue medication in a patient with therapy-refractory myasthenic crisis.

A new study has found that myasthenia gravis does not affect the long-term prognosis of patients with thymoma.

A quality improvement program found that maternal blood pressure (BP) screening during early well-child visits significantly improves the early detection and management of postpartum hypertensive disorders.

In this new analysis, investigators review the late adverse events associated with anti-CD19 chimeric antigen receptor (CAR) T-cell therapy for relapsed/refractory B-cell non-Hodgkin lymphoma.

Digital twin technology could personalize treatment for pulmonary hypertension, according to a recent study.

Researchers review the latest developments, challenges, and ongoing research in posttransplant maintenance for acute myeloid leukemia (AML).

A new study highlights the potential of technology to aid in type 1 diabetes (T1D) management by balancing minimal user input with significant data output to improve user engagement and time in range.

Study findings provide new tools to assess treatment preferences when using hypomethylating agents in myelodysplastic syndromes (MDS).

The phase 3 GENEr8-1 study demonstrated that valoctocogene roxaparvovec, an AAV5-vectored gene therapy, effectively enabled endogenous FVIII production in adults with severe hemophilia A without developing clinically meaningful FVIII inhibitors.

This study provides a comprehensive review of both established and emerging prognostic markers in chronic lymphocytic leukemia (CLL), and their role in predicting disease, treatment response, and overall survival.

Study findings show eculizumab is effective and well tolerated in reducing disease burden in adolescents with refractory anti-acetylcholine receptor antibody–positive generalized myasthenia gravis.

Researchers have found that specific genetic markers may increase the risk of cardiovascular adverse effects in patients using Bruton’s tyrosine kinase (BTK) inhibitors.

Researchers have identified a causal link between gut microbiota and myelodysplastic syndrome (MDS) risk, mediated by certain key immune cell phenotypes.

Case reports and systematic review found the combination of surgery, chemotherapy, and radiotherapy can effectively manage diffuse large B-cell lymphoma (DLBCL) associated with papillary thyroid carcinoma.

A small retrospective study found that combining obinutuzumab with radiation therapy may offer a viable and well-tolerated treatment option for patients with refractory diffuse large B-cell lymphoma (DLBCL).

BET inhibition in chronic lymphocytic leukemia (CLL) significantly reduces leukemic cell burden and restores T-cell function by modulating the immune microenvironment and reversing T-cell exhaustion.

Recent studies reveal that simoctocog alfa (Nuwiq) offers effective prophylaxis and treatment for severe hemophilia A in children, with low inhibitor rates and strong long-term safety and efficacy.

A case study details the cytological and histological features of fibrin-assisted diffuse large B-cell lymphoma in a patient with no clinical symptoms, highlighting the diagnostic challenges of this condition.

A study found that prehospital blood pressure (BP) reduction had no impact on functional outcomes among patients with undifferentiated acute stroke, but that it may decrease the odds of poor outcomes following hemorrhagic stroke.

Prophylactic intravenous immunoglobulin reduces COVID-19 infection rates in older patients with DLBCL with hypogammaglobulinemia undergoing reduced-intensity R-CHOP therapy.

Study findings demonstrate that combining decitabine with venetoclax enhances molecular response rates in patients with acute myeloid leukemia (AML) and myelodysplastic syndromes (MDS), correlating strongly with improved clinical outcomes and overall survival.

Two unique case reports highlight the diagnostic challenges and critical importance of comprehensive immunophenotyping in cases of T-cell acute lymphoblastic leukemia/lymphoma that present without typical immaturity markers but with rare γδ T-cell receptor expression.

New study findings demonstrate that valoctocogene roxaparvovec, a gene therapy for severe hemophilia A, significantly reduces bleeding episodes and dependency on factor VIII infusions over a 3-year period, while maintaining a favorable safety profile.

This study introduces a novel "all-in-one" strategy combining CD7 chimeric antigen receptor T-cell therapy with haploidentical hematopoietic stem-cell transplantation, showing significant potential to improve survival and reduce toxicities in patients with relapsed or refractory CD7-positive hematologic cancers.

Findings from the FAMS-T1D study demonstrate that structured goal-setting and achievement significantly enhance self-efficacy and self-care in emerging adults who have type 1 diabetes (T1D).

Type 1 diabetes (T1D), which once predominantly affected children, is increasingly affecting older adults in the US, with prevalence rates peaking in those aged 45 to 64, according to recent research.

Data highlight substantial improvements in outcomes following allogeneic hematopoietic cell transplantation (allo-HCT) among older patients with acute myeloid leukemia (AML).

An overview of the treatments for chronic lymphocytic leukemia (CLL) and novel therapies on the horizon, including double and triple combination therapies, cellular therapies, and bispecific antibodies.

UGT2B17, a metabolic enzyme known for regulating various endogenous molecules, has been identified to have heightened expression in the B cells of patients who have chronic lymphocytic leukemia (CLL).

259 Prospect Plains Rd, Bldg H
Cranbury, NJ 08512
© 2025 MJH Life Sciences®
All rights reserved.
