
A multicenter study supports the use of ruxolitinib in steroid-refractory and steroid-dependent chronic graft-versus-host disease, adding to promising clinical trial findings.

Rose is an editorial director at The American Journal of Managed Care® (AJMC®).
She has a BA in journalism & media studies and Spanish from Rutgers University. You can connect with Rose on LinkedIn.

A multicenter study supports the use of ruxolitinib in steroid-refractory and steroid-dependent chronic graft-versus-host disease, adding to promising clinical trial findings.

Authors of the observational cohort study developed and validated novel sex-informed prognostic and genomic scoring systems for patients with myelodysplastic syndrome (MDS).

The report is the first recorded case of acute respiratory distress syndrome (ARDS) that required venovenous extracorporeal membrane oxygenation and was complicated by spontaneous spleen rupture.

A recent review emphasizes a need for novel therapies, summarizes current phase 3 clinical trials, and suggests several considerations for future trials in high-risk myelodysplastic syndromes (MDS).

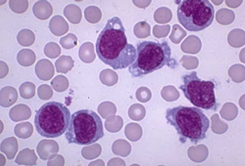
Bruton tyrosine kinase (BTK) inhibitors are currently the only FDA-approved agents indicated specifically for patients with Waldenström macroglobulinemia.

The findings suggest that treatment with fluticasone furoate (FF)/umeclidinium (UMEC)/vilanterol (VI) led to improvements and had a similar safety profile to both FF/VI and UMEC/VI regardless of patient chronic mucus hypersecretion status at baseline.

The population-level, mutigenerational study found that both near and distant relatives of women with primary ovarian insufficiency were at a higher risk of the condition compared with matched controls.

Thirteen years of population-based data highlight substantial rates of aggressive end-of-life care and disparities in care within a publicly funded health care system in Ontario, Canada.

A small, prospective, open-label trial found evidence of improved quality of life (QOL) and clinical outcomes among patients with treatment-resistant Sturge-Weber syndrome when they were treated with CBD.

The risk of experiencing symptoms of postpartum depression may be higher in women who give birth after unintended pregnancies vs those who get pregnant intentionally, according to a recent study.

A recent review poses gene therapy as a novel treatment option with potential to reduce health care disparities globally.

The retrospective study evaluated outcomes in patients prescribed nirmatrelvir-ritonavir, as well as the management of drug interactions by clinical pharmacists prescribing the regimen.

Continuous glucose monitoring (CGM) systems have been shown to improve glycemia for individuals with type 1 diabetes (T1D), but they are not nationally funded in New Zealand.

An article published in the journal Gastroenterology & Hepatology highlights recent updates to eosinophilic gastrointestinal disease nomenclature, as well as updates related to diagnosis, pathogenesis, and treatment standards.

Although there is a clinically recognized association between endometriosis and infertility, the mechanisms behind the association are not fully understood.

Updated Kidney Disease: Improving Global Outcomes guidelines and a consensus report with the American Diabetes Association support the use of finerenone in certain patients who have chronic kidney disease (CKD) that may be linked to type 2 diabetes (T2D).

A prospective study found that patients and providers saw benefits while using a virtual assistant integrated into a teledermatology program.

Although automated insulin delivery systems have gained traction in type 1 diabetes, further research is needed to determine the feasibility of using such systems for patients with type 2 diabetes.

A research letter published in Blood Advances details the first clinical evidence of sustained hematologic remission for cold agglutinin disease (CAD) after sutimlimab treatment discontinuation.

A brief report found that a need for prior authorization affected biologic approval wait times for patients with psoriasis, especially those with private insurance.

Sufficiently powered studies are necessary to investigate associations between clinical measures and patient-reported outcomes (PROs) in children with sickle cell disease experiencing acute pain episodes, according to a recent study.

A panel of specialists proposed 26 essential elements for comprehensive pediatric sickle cell disease care, laying groundwork for standardized guidelines and the establishment of accredited care centers in the future.

While chronic lymphocytic leukemia (CLL) typically progresses slowly, awareness of rare but potentially serious complications is crucial to improve outcomes.

The study highlights a need for further research into potential contributors, including the possibility that sicker patients may receive more prompt treatment.

Over the course of voxelotor treatment, hemoglobin levels and hemolysis markers improved, with results sustained over the treatment period.

The hesitation to prescribe nonsteroidal anti-inflammatory drugs (NSAIDs) to patients with hemophilia is not supported by current research, based on a recently published review, but the available studies had significant limitations.

Although the understanding of chronic graft-versus-host disease (GVHD) has improved in recent years, more work is needed to facilitate personalized treatments for patients after hematopoietic stem cell transplantation (HSCT).

The analysis emphasizes the association between vaso-occlusive crisis frequency and health care costs, which are inflated largely due to inpatient visits.

Gene therapy is a novel approach to hemophilia A treatment that carries a substantial cost up front but may lead to cost savings compared with current prophylaxis agents in the long run.

The findings suggest telenursing between in-person visits may help reduce distress related to symptoms in patients who have lung cancer.

259 Prospect Plains Rd, Bldg H
Cranbury, NJ 08512
© 2025 MJH Life Sciences®
All rights reserved.
