
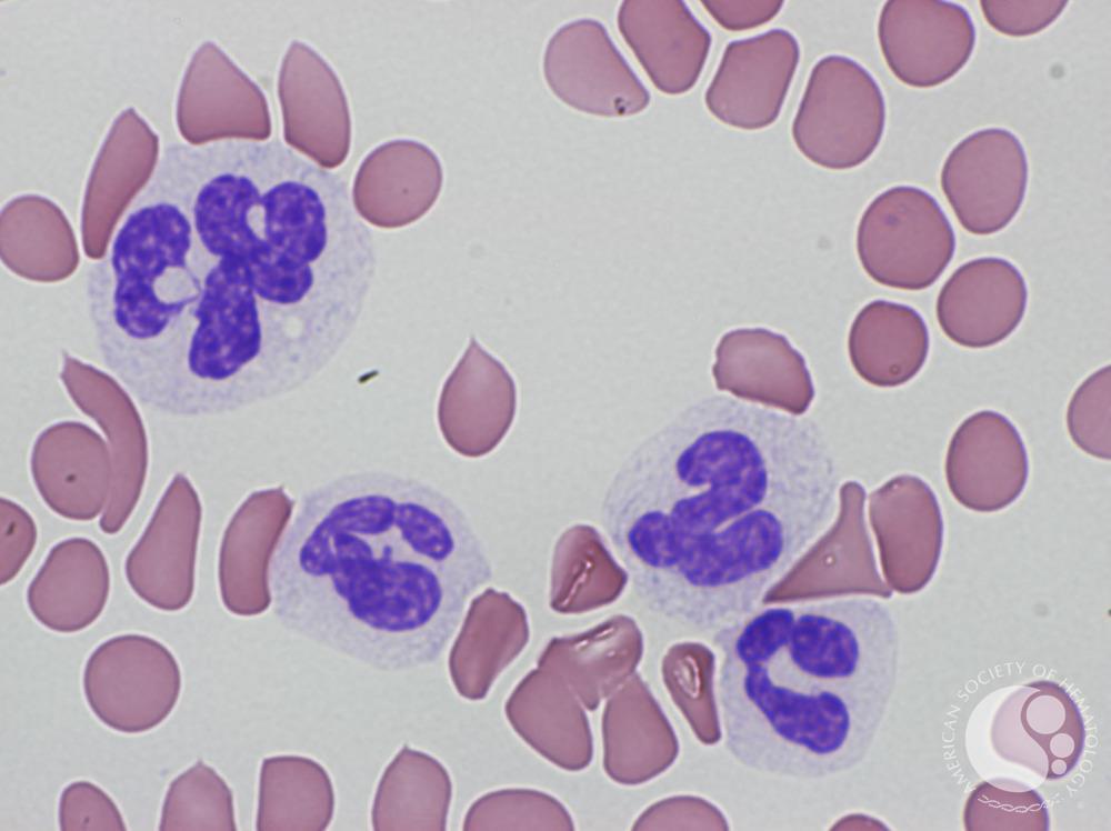
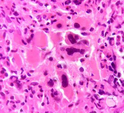
Myeloproliferative Neoplasms (MPN)
Latest News

Latest Videos
CME Content
More News

While the Dynamic International Prognostic Scoring System and bone marrow blasts may predict overall survival, the lack of certain mutations is also associated with a better prognosis for myeloproliferative neoplasm, unclassifiable (MPN-U).

Traditionally, low-risk patients with myeloproliferative neoplasms (MPNs) are not given medication, but new data challenge that thinking, said Raajit Rampal, MD, PhD, hematologic oncologist, associate attending physician, Memorial Sloan Kettering Cancer Center.

The introduction of momelotinib to treat myelofibrosis with anemia can result in small savings due to reduced transfusion-related costs, according to a budget impact model.

Differing characteristics of the patient and their disease may mean certain providers—academic oncologists, community oncologists, and primary care physicians—may be best suited for follow-up care.

For most patients younger than age 60 with polycythemia vera (PV) who are not considered high risk, cytoreductive therapies are withheld despite being highly effective.

Despite potential benefits, the therapy remains in limited use for myeloproliferative neoplasms (MPNs).

New research highlights the factors that increase the likelihood that essential thrombocytopenia (ET), polycythemia vera (PV), and prefibrotic primary myelofibrosis (PrePMF) will evolve into overt myelofibrosis (MF).

Compared with matched controls, patients with myeloproliferative neoplasms (MPNs) had a higher risk of developing thrombosis, hemorrhage, and leukemic transformation, according to a longitudinal cohort study.

A review of research confirms that adolescents and young adults (AYA) with myeloproliferative neoplasms (MPN) face psychological burdens but the exact burden is poorly understood.

The National Comprehensive Cancer Network (NCCN) recommends ropeginterferon alfa-2b as first-line cytoreductive therapy for polycythemia vera.

Polycythemia vera (PV) therapy should aim to identify cardiovascular risk factors, according to one review.

A phase 3 trial in symptomatic and anemic patients with myelofibrosis (MF) met its primary end point, seeing a significant symptom reduction at 24 weeks with momelotinib vs danazol.

Researchers identified distinct patterns of epigenetic dysregulation in myeloproliferative neoplasms.

Budd-Chiari syndrome and myeloproliferative neoplasms (MPNs) are rare, which means available data are limited.

A recent survey of patients with myeloproliferative neoplasms found integrative medicine interventions improved symptom burden, fatigue, depression, and improved quality of life.














































