
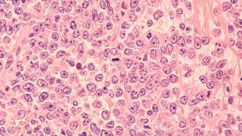
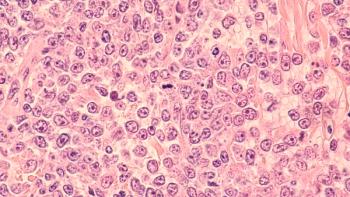
Non-Hodgkin Lymphoma (NHL)
Latest News

Latest Videos
CME Content
More News

Cemacabtagene ansegedleucel, an allogeneic chimeric antigen receptor (CAR) T-cell therapy, is being investigated in relapsed/refractory large B-cell lymphoma.

An early pilot trial suggests that combining atezolizumab (tecectriq) with rituximab (Rituxan), gemcitabine (gemzar) and oxaliplatin (eloxatin; GemOx; R-GemOx+Atezo) could be a well-tolerated and effective treatment option in non-Hodgkin lymphoma.

Fred Locke, MD, Moffitt Cancer Center, explains why this hematologic cancer is such an attractive target for chimeric antigen receptor (CAR) T-cell therapy, specifically allogeneic, which uses healthy donor cells.

Adverse physical functions were indicative of reduced survival and increased risk of immune effector cell–associated neurotoxicity syndrome (ICANS) in patients with non-Hodgkin lymphoma (NHL) previously treated with chimeric antigen receptor T-cell therapy.

On February 13, Allogene Therapeutics published new long-term follow-up data on cemacabtagene ansegedleucel, showing the investigative allogeneic chimeric antigen receptor (CAR) T-cell therapy produced durable responses in relapsed/refractory large B-cell lymphoma.


A rituximab and lenalidomide combination for treating non-Hodgkin lymphoma (NHL) could play a greater role in future clinical trials.

Interim data from the ECHELON-3 trial previously showed that adding brentuximab vedotin to lenalidomide and rituximab improved overall survival among patients who have relapsed or refractory large B-cell lymphoma (R/R LBCL).

Despite research showing the benefits of circulating tumor DNA as an indicator of disease remission in B-cell lymphoma, hurdles that include availability and cost remain to its widespread implementation.

The CELESTIAL-301 trial evaluating SynKIR-310, a novel chimeric antigen receptor T-cell therapy, has dosed its first patient with relapsed/refractory B-cell non-Hodgkin lymphoma (B-NHL).

Extranodal non-Hodgkin lymphoma (NHL) makes up over one-third of NHL cases, yet remains understudied and in need of deeper research considerations.

Serum soluble interleukin-2 receptor (sIL-2R) levels have been a great diagnostic tool for non-Hodgkin lymphoma (NHL) and could provide further benefits for distinguishing soft-tissue NHL from other soft tissue tumors.

The Bruton tyrosine kinase inhibitor was approved in combination with bendamustine and rituximab in previously untreated mantle cell lymphoma (MCL) ineligible for autologous hematopoietic stem cell transplantation and as monotherapy in previously treated MCL.

Rachael Drake, pharmacy technician coordinator, University of Kansas Health System, explains how her team collaborates with insurance companies and providers to support treatment access for patients with non-Hodgkin lymphoma.

A pair of studies from The American Society of Hematology (ASH) Annual Meeting & Exposition provides insights into the prognostic utility of geriatric assessment tools and their role in tailoring therapy to improve patient outcomes.

Epcoritamab-bysp showed a 69% objective response rate and 62% complete response rate in older patients with large B-cell lymphoma who were ineligible for anthracycline-based therapy.

This pair of posters presented at the 66th American Society of Hematology Annual Meeting & Exposition provides updates on epcoritamab, currently being investigated in the Epcore NHL-1 trial.

A new analysis of real-world data show that just as in solid tumors, higher tumor mutational burden (TMB) and PD-L1 expression in blood cancers are linked to less-optimistic prognoses.


Capivasertib, in combination with venetoclax, produced promising responses in preclinical models of diffuse large B-cell lymphoma (DLBCL).

A 3-year follow-up of patients with refractory/relapsed indolent non-Hodgkin (NHL) treated with a combination of magrolimab and rituximab showed no new treatment-emergent adverse events, suggesting long-term safety. The treatment also confirmed magrolimab penetration into the tumor.

A new study demonstrates that the combination of lenalidomide (Revlimid) and obinutuzumab (Gazyva) is effective and well-tolerated in treating relapsed indolent non-Hodgkin lymphoma (NHL).

Danish patients who were diagnosed with certain lymphomas and other B-cell malignancies demonstrated increased antimicrobial use for at least a decade before their diagnosis.

Recombinant Hirudin (rH) inhibited the polarization of M2-type macrophages and protease-activated receptor-1 (PAR-1) in diffuse large B-cell lymphoma (DLBCL).

Jason Romancik, MD, a board-certified hematologist at Emory Winship Cancer Institute, discusses the current treatment landscape in aggressive lymphoma and drivers of high care costs.