
Improvements in multiplex immunofluorescence and spatial analysis have enabled a better understanding of the ways classical Hodgkin lymphoma evades the immune system.


Improvements in multiplex immunofluorescence and spatial analysis have enabled a better understanding of the ways classical Hodgkin lymphoma evades the immune system.

The phase 3 inMIND trial evaluating tafasitamab in combination with lenalidomide and rituximab in relapsed or refractory follicular lymphoma showed promising progression-free survival findings, according to topline results.

CAR T-cell therapy results in a high incidence of cytokine release syndrome, but it is manageable in most cases.

In part 1 of our interview with Anna Sureda, MD, PhD, president of the European Group for Blood and Marrow Transplantation, she summarized the current treatment landscape for relapsed/refractory diffuse large B-cell lymphoma (R/R DLBCL) and follicular lymphoma (FL).

Better reporting is needed to create better guidelines for tracking infection risk in patients with relapsed or refractory non-Hodgkin lymphoma or multiple myeloma, investigators concluded.

Investigators wanted to know how well the NFlymSI-18 assessment was able to assess patient-reported outcomes in people with indolent B-cell non-Hodgkin lymphoma (NHL).

“It's nice to have another option that we can discuss with patients,” said Yasmin H. Karimi, MD, University of Michigan, about epcoritamab’s label expansion for difficult-to-treat relapsed/refractory (R/R) follicular lymphoma.

New Jersey Governor Phil Murphy joined BeiGene CEO John Oyler and about 300 guests to open the facility, located in Hopewell, New Jersey. A version of this article appeared in the August issue of Evidence-Based Oncology.

The social determinants of health (SDOH) that need to be tackled most urgently when it comes to which patients with large B-cell lymphoma (LBCL) do and do not receive chimeric antigen receptor T-cell therapy (CAR T) are age, sex, income, and race/ethnicity.

We recently spoke with Tycel Phillips, MD, associate professor, Division of Lymphoma, Department of Hematology & Hematopoietic Cell Transplantation, City of Hope, about his team’s interim analysis of their dose-escalation study of glofitamab against relapsed/refractory B-cell non-Hodgkin lymphoma.

Anna Sureda, MD, PhD, of the Catalan Institute of Oncology, discusses the evolving treatment landscape for patients with relapsed/refractory diffuse large B-cell lymphoma (DLBCL) or follicular lymphoma.

A case study describes the disparate factors that played into the chemotherapy and other treatment decisions made by a team in Japan when addressing their patient’s primary mediastinal large B-cell lymphoma (PMBCL).

In this new analysis, investigators review the late adverse events associated with anti-CD19 chimeric antigen receptor (CAR) T-cell therapy for relapsed/refractory B-cell non-Hodgkin lymphoma.

This meta-analysis study will estimate the global and regional burden of HIV-associated non-Hodgkin lymphoma to aid the development of prevention and control strategies.

The 5 agents in ViPOR—including venetoclax and lenalidomide—worked better together in a phase 1b/2 trial than they previously have, individually, in treating patients with certain diffuse large B-cell lymphoma (DLBCL) subtypes.

The FDA approved epcoritamab-bysp to treat adults with relapsed or refractory (R/R) follicular lymphoma after 2 or more lines of systemic therapy.

With its recent approvals around the world to treat newly diagnosed and relapsed/refractory diffuse large B-cell lymphoma (DLBCL), the antibody-drug conjugate polatuzumab vedotin is changing regimens for current and future patients, with manageable adverse effects.

Catherine Diefenbach, MD, an American Society of Hematology expert and director of the Clinical Lymphoma Program at NYU Langone's Perlmutter Cancer Center, discussed the evolving state of diffuse large B-cell lymphoma (DLBCL) therapeutics and exciting areas of research.

Case reports and systematic review found the combination of surgery, chemotherapy, and radiotherapy can effectively manage diffuse large B-cell lymphoma (DLBCL) associated with papillary thyroid carcinoma.

A small retrospective study found that combining obinutuzumab with radiation therapy may offer a viable and well-tolerated treatment option for patients with refractory diffuse large B-cell lymphoma (DLBCL).

Further acknowledgement and study of the tumor microenvironment in diffuse large B-cell lymphoma (DLBCL) could eventually result in much more personalized—and effective—treatments.

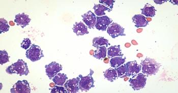
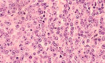
A case study details the cytological and histological features of fibrin-assisted diffuse large B-cell lymphoma in a patient with no clinical symptoms, highlighting the diagnostic challenges of this condition.

Prophylactic intravenous immunoglobulin reduces COVID-19 infection rates in older patients with DLBCL with hypogammaglobulinemia undergoing reduced-intensity R-CHOP therapy.

A very unusual case of lip-based diffuse large B-cell lymphoma (DLBCL) was treated successfully thanks to prompt diagnosis and chemotherapy treatments.

New therapies are helping patients, but are also driving up overall costs of care.

259 Prospect Plains Rd, Bldg H
Cranbury, NJ 08512
© 2025 MJH Life Sciences®
All rights reserved.
