
This week, top managed care stories included an additional setback for Medicaid work rules; another study finding more benefits from SGLT2 inhibitors; researchers finding unwanted end-of-life care causes stress.

This week, top managed care stories included an additional setback for Medicaid work rules; another study finding more benefits from SGLT2 inhibitors; researchers finding unwanted end-of-life care causes stress.

Millennials have increaseing incidence of liver disease related to alcohol consumption; the EPA will regulate 2 chemicals in drinking water; unpaid caregivers are on the rise in the United States.

Coverage of our peer-reviewed research and news reporting in the healthcare and mainstream press.

As a whole, the public does not realize that certain health coverage benefits stem from the Affordable Care Act (ACA).

Circulation, a peer-reviewed journal of the American Heart Association, just released its fourth annual Go Red for Women issue, in which researchers from the Smidt Heart Institute at Cedars-Sinai note the stark disparities in how heart disease manifests in women and men. For women, sudden cardiac death is often the first sign they even have heart disease.


In 2019, the US Department of Defense (DoD) and Department of Veterans Affairs (VA) approved clinical practice guidelines regarding management and treatment of chronic insomnia disorder and obstructive sleep apnea in VA and DoD patients. The VA/DoD Evidence-Based Practice Work Group formulated the framework to enable more effective screening, treatment, and managements of these diseases, according to a review published in Annals of Internal Medicine.

A study found potential age bias in heart care for patients on different sides of their 80th birthday; 2 passengers from the Diamond Princess cruise ship die of coronavirus; California Governor Gavin Newsom outlined several mental health proposals to address homelessness in the state.

It can be difficult to notice when a patient is transitioning from relapsing-remitting multiple sclerosis to the secondary progressive form. Soon, neurologists may be able to use a digital tool to catch it.

There’s significant evidence that some patients with far-advanced glaucoma are able to perform more tasks than others. Yet, it’s difficult to distinguish these patients from each other. A new study proposes a way to find out.

Cardinal Innovations Healthcare is the largest specialty health plan in the country, insuring more than 850,000 North Carolinians with complex needs. Using a community-based model of care management, Cardinal Innovations has led the way in developing services, processes and solutions that improve the lives of our members and their families. Recognized for operational excellence, innovative solutions and superior outcomes for members, accuracy and speed of payments to providers, and cost-effective funds management, Cardinal Innovations is a leading healthcare company in the United States.

Several clinical trials have found mesenchymal stem cell therapy effective in treating neural damage in patients with multiple sclerosis (MS), according to a review published in Stem Cell Investigation.

Higher out-of-pocket (OOP) drug costs for 3 common neurologic conditions—Parkinson disease, Alzheimer disease, and peripheral neuropathy—were associated with lower medication adherence among patients, which can potentially intensify symptom burden and result in higher costs.

Radium-223’s (Ra-223) low levels of alpha particle radiation induce double-strand DNA breaks, which leads to cell apoptosis. Sipuleucel-T (SipT), which is an immunotherapy manufactured from a patient’s peripheral blood mononuclear cells, activates T cells to spur an immune response. Both are used to treat bone-metastatic castration-resistant prostate cancer (CRPC). Study data suggest a synergistic immune effect when Ra-223 is added to treatment with SipT.

The results are in line with earlier studies, and the current review found a link with bladder cancer and lung cancer.

Our brains experience social and physical pain in much the same way; rural hospitals in the United States are increasingly at risk of closure; there is strong support for organ and tissue donation for research.

Researchers determined that migraineurs exhibit unique responses to tactile stimuli compared with controls, according to a study published in Cephalalgia.

According to recent study results published in JAMA, treatment-limiting Physician Orders for Life-Sustaining Treatment (POLSTs) were significantly associated with lower rates of intensive care unit admissions among patients with life-limiting conditions compared with patients who had full-treatment POLSTs. However, researchers found 38% of patients with treatment-limiting POLSTs still received intensive care that was potentially discordant with their preferences.

Investigators say that inconsistencies in the way rare diseases are defined contribute to misdiagnoses, delayed treatment, and other ills that could be addressed with global standards.

The 6 finalists will pitch their innovations at Google’s campus February 27 for a chance to win up to $50,000 in in-kind services from Boston Scientific and Google.

A vascular surgeon in Florida allegedly stole $26 million from insurers and the government; a new report finds many rural areas are still at risk of an HIV outbreak; new disposable flavored vape pens have largely replaced Juul use among teens.

Close to 80% of HIV-positive individuals are shown to be virally suppressed through their most recent test results, according to data from 2016 through 2018, as well as 32% to 63% of adults older than 24 years. Youth with a new HIV diagnosis, however, come in at only 12%.

Sickle-cell trait (SCT) and disease (SCD) among African American patients were associated with faster kidney function decline, with SCD contributing to a more rapid decline, according to study findings.

A systematic review and meta-analysis of 10 studies to evaluate the efficacy and safety of pharmacological treatments for lymphangioleiomyomatosis yielded mixed results, according to the findings published in Respiratory Research.

Finely tuned eye movements are instrumental in enhancing visual acuity, according to findings of a study published in Nature Communications.

Statin use was linked with a significant reduction in the risk of hospitalized exacerbations after an initial hospitalized exacerbation among patients with chronic obstructive pulmonary disease (COPD), including specified frequent exacerbators, according to study findings.

The use of sodium-glucose cotransporter 2 (SGLT2) inhibitors leads to cardiovascular benefits in all patients with type 2 diabetes (T2D), according to a study recently published in the Journal of the American Heart Association.

Passengers of the coronavirus-infected ship Diamond Princess landed in the United States Monday, including 14 infected with the virus; 1 in 4 opioid overdoses were shown in a study to involve children 18 years old and younger; World Health Organization (WHO) initiative on insulin prices gains support.

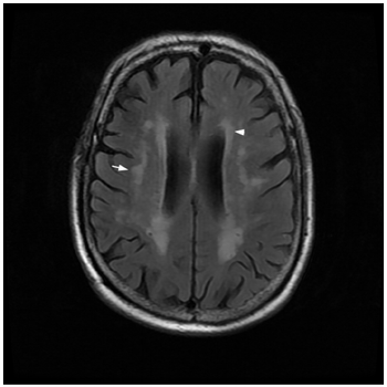
These findings suggest that baseline white matter hyperintensities can act as a predictive marker or therapeutic target for the development of levodopa-induced dyskinesia in patients with early stage Parkinson disease.

A decision aid delivered through tobacco quitlines may improve informed decision making about lung cancer screening, according to study findings.

259 Prospect Plains Rd, Bldg H
Cranbury, NJ 08512
© 2025 MJH Life Sciences®
All rights reserved.
