
Mary Caffrey
Mary Caffrey is the Executive Editor for The American Journal of Managed Care® (AJMC®). She joined AJMC® in 2013 and is the primary staff editor for Evidence-Based Oncology, the multistakeholder publication that reaches 22,000+ oncology providers, policy makers and formulary decision makers. She is also part of the team that oversees speaker recruitment and panel preparations for AJMC®'s premier annual oncology meeting, Patient-Centered Oncology Care®. For more than a decade, Mary has covered ASCO, ASH, ACC and other leading scientific meetings for AJMC readers.
Mary has a BA in communications and philosophy from Loyola University New Orleans. You can connect with Mary on LinkedIn.
Articles by Mary Caffrey


Coverage from the Community Oncology Alliance 2024 Community Oncology Conference, held April 3-5, 2024, in Orlando, Florida.




Independent Voters Favor Biden on Most Health Care Issues, but Not Controlling Costs, KFF Poll Finds
Most older Americans remain unaware of provisions of the Inflation Reduction Act that affect them, although awareness has increased.

The CEO of SCAN Health Plan discusses its first-ever Environmental, Social, and Governance Report.

Pembrolizumab has existing indications in endometrial cancer.

Some experts believe offering a subcutaneous version of nivolumab could make PD-1 inhibitors available to new groups of patients who currently lack access, such as those in rural areas.

A panel discussion highlighted a new pathway that allows Medicare to embrace new tools and pay for them while gathering the evidence needed to ensure the technology is safe and appropriate for an older population.

The triple therapy of budesonide, glycopyrrolate, and formoterol fumarate showed the greatest incremental net benefit among a series of triple therapy medications that were evaluated against dual therapy for chronic obstructive pulmonary disease (COPD), according to an analysis presented at ISPOR.

A CMS official discusses a draft guidance on the second round of drug pricing negotiations amid uncertainties over the first round of talks under the Inflation Reduction Act (IRA).

Research into the Inflation Reduction Act evaluated payer concerns, patient and physician behavior, which patients will benefit from the first 10 drugs selected for price negotiation, and the ripple effect into Medicaid at the state level.

The opening plenary session addresses a key priority of ISPOR on the first full day of the annual conference.

Panelists at the leading health economics and outcomes conference discuss whether the FDA's process for allowing outside experts to weigh in on drug approvals needs changes.

Authors discuss the merits of using a pair of immunotherapy treatments aimed at separate targets.

About 5000 leaders in health economics and outcomes research will gather for the 2024 meeting, which has the theme, "HEOR: A Transformative Force for Whole Health.”

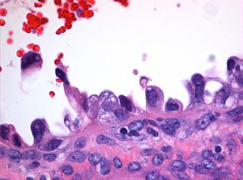
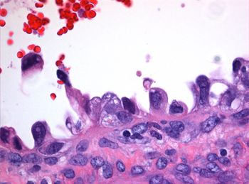
Investigators also examined which type of immunosuppression was associated with a higher likelihood of Kaposi sarcoma.

"Off the shelf" CAR T-cell therapies could offer a solution in chronic lymphocytic leukemia, where T-cell exhaustion creates treatment challenges.


The principal investigator of the study leading to approval said this new immunotherapy could be a "game changer" in bladder cancer.

A tumor board looked to studies in ovarian cancer for guidance on use of immunotherapy in a rare case of clear cell carcinoma of the cervix.

News from Strategic Alliance Partners of The American Journal of Managed Care.



The annual legislative update at the Community Oncology Alliance Community Oncology Conference identified what Congress may focus on prior to the upcoming election.

FDA granted accelerated approval to trastuzumab deruxtecan-nxki for adult patients with unresectable or metastatic HER2-positive solid tumors who received prior systemic treatment and have no satisfactory alternative treatment options.
This panel at the Community Oncology Alliance conference discussed the impact of pharmacy benefit manager (PBM) response to the end of direct and indirect remuneration fees, which has been dramatic cuts to cancer drug reimbursement.

Jonathan E. Levitt, Esq, founding partner of boutique health care law firm Frier Levitt, LLC, discusses a recent class-action lawsuit brought against Johnson & Johnson in which an employee alleged a breach of fiduciary duty regarding her employer-sponsored pharmacy benefits.