
Chemotherapy is standard care for pediatric acute lymphoblastic leukemia (ALL), but new research shows thiopurines can cause mutations that result in relapse.


Chemotherapy is standard care for pediatric acute lymphoblastic leukemia (ALL), but new research shows thiopurines can cause mutations that result in relapse.

Treatment-related modifications have resulted in improved long-term outcomes for all adolescent and young adult (AYA) survivors of Hodgkin lymphoma, but new research highlights that racial, ethnic, and socioeconomic status disparities persist in the long term.

In an interim analyses of the phase 3 SEQUOIA trial, zanubrutinib had superior progression-free survival compared with bendamustine plus rituximab in patients with treatment-naive chronic lymphocytic leukemia (CLL) or small lymphocytic leukemia (SLL).

In a recent review article, a researcher outlined current guidance for the management of patients with chronic lymphocytic leukemia (CLL) as the pandemic continues throughout the country.

Across 19 patients, 73% developed grade 3 or 4 neutropenia, significantly higher than the incidence observed in the phase 3 trial examining the combination for chronic lymphocytic leukemia (CLL).

A new treatment using human immune cells can prevent infections in patients with leukemia who have a weakened immune system due to treatment for their disease.

Based on subgroup analyses of over 500 younger patients with intermediate-risk disease, the researchers say measurable residual disease (MRD)-guided decisions may help achieve better outcomes postremission.

Posters presented at the European Hematology Association 2021 Virtual Congress evaluated acute myeloid leukemia (AML) in elderly patients.

The researchers outlined patient selection for treatment, adverse event management, and future strategies for the treatment of these patients.

A retrospective analysis of real-world data found a discrepancy between actual care and the recommendations from clinical trials for patients with mantle cell lymphoma, resulting in outcomes that were worse than in trials.

Two abstracts presented recently at the American Society of Clinical Oncology annual meeting offered promising data for 2 CAR T-cell therapies, one in relapsed/refractory B-cell acute lymphoblastic leukemia (B-ALL) and one in R/R multiple myeloma.

The National Comprehensive Cancer Network (NCCN) has updated its guidelines for Waldenström macroglobulinemia to include zanubrutinib (Brukinsa) as a preferred regimen.

An analysis of social media posts provides insight into patient experiences of acute lymphoblastic leukemia (ALL) and the therapies that treat it.

The study included over 900 patients with hematologic cancers who were hospitalized with COVID-19, revealing that giving patients plasma from people who have recovered from the virus improved the rate of 30-day mortality.

Two posters presented at the European Hematology Association 2021 Virtual Congress evaluated tyrosine kinase inhibitor (TKI) selection in the front line and compared first-generation to second-generation TKIs.

High-risk patients with diffuse large B-cell lymphoma (DLBCL) may benefit from being treated with a regimen that adds zanubrutinib and lenalidomide to R-CHOP (a combination of the monoclonal antibody rituximab plus the chemotherapy regimen of cyclophosphamide, doxorubicin, vincristine, and prednisone).

Rajat Bannerji, MD, PhD, Chief, Section of Hematologic Malignancies at Rutgers Cancer Institute of New Jersey/RWJBarnabas Health, speaks on the efficacy and safety findings of the CAPTIVATE study examining the fixed-duration regimen of ibutinib and venetoclax combination therapy in CLL.

Christopher Arendt, PhD, head, Oncology Therapeutic Area Unit, Takeda, speaks on efficacy and safety findings of the OPTIC study examining dose optimization of ponatinib in patients with chronic-phase chronic myeloid leukemia (CP-CML) resistant to second-generation tyrosine kinase inhibitor therapy.

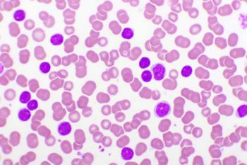
Researchers discussed novel biomarkers—both established and not fully validated—being assessed in the time of targeted therapies for chronic lymphocytic leukemia (CLL).

As patients with chronic myeloid leukemia (CML) fail on treatment and move to later lines of therapy, the impact on their health-related quality of life and the economic burden significantly increase.

New studies evaluate the impact of age on overall survival in adolescents and young adults (AYAs) with chronic lymphocytic leukemia, as well as response rates of rituximab in 2 combination regimens for hairy-cell leukemia and follicular lymphoma.

The exploration of the MAPK pathway has come as researchers look for new therapeutic targets for acute myeloid leukemia (AML), which still faces resistance to novel treatments like FLT3 inhibitors and subsequent relapses.

Patients with acute myeloid leukemia (AML) who relapse after first-line treatment face a substantial health care resource utilization (HCRU) and cost burden, according to a poster presented at Virtual ISPOR 2021.

With a variety of treatments available for chronic lymphocytic leukemia (CLL), a disease that is extremely heterogeneous, clinicians are faced with a challenging task to choose the right treatment for a patient.


259 Prospect Plains Rd, Bldg H
Cranbury, NJ 08512
© 2025 MJH Life Sciences®
All rights reserved.
