
A recent study aimed to fill research gaps regarding skin cancer rates and risk factors in older adults.


A recent study aimed to fill research gaps regarding skin cancer rates and risk factors in older adults.


The 5-year survival rate over the time period was just 33.8%, the study found.

A new report shows better than 80% concordance between liquid biopsy and tissue biopsy.

Existing research appears to suggest these patients can be treated similarly to patients with other genetic subtypes of cutaneous melanomas.

Autologous tumor lysate particle-loaded dendritic cell (TLPLDC) vaccination is well-tolerated in combination with other immunotherapies, but further research is needed to confirm its efficacy.

New retrospective research found that basal and squamous cell cancers increased by 30% over 15 years.

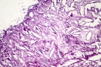
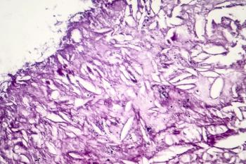
A large cohort study aimed to find out whether tumor-infiltrating lymphocytes, an important biomarker in melanoma, could be an independent prognostic factor for overall survival.

A retrospective study on the combination of a vascular endothelial growth factor receptor inhibitor plus programmed cell death-1 blockade added to evidence of efficacy in early trials.

Christine Ko, MD, professor of dermatology and pathology at Yale University, who specializes in transplant dermatology, explains the considerations involved with skin cancer–related treatment decisions among patients who’ve undergone a solid-organ or other type of organ transplant.

In patients with BRAF-mutated melanoma, achieving a complete response and circulating tumor DNA negativity are promising prognostic markers.

Todd Schlesinger, MD, FAAD, director, Dermatology and Laser Center of Charleston and Clinical Research Center of the Carolinas, explains the process of Mohs surgery for removing skin cancers and preserving healthy surrounding tissue.

Combination CDK4/6 and MEK inhibitor treatment reduced tumor growth in mouse models of melanoma with acquired resistance to BRAF and MEK inhibition.

The largest known prospective study of patients treated with trametinib plus dabrafenib for unresectable advanced melanoma with BRAF-V600 mutation confirmed the combination’s clinical activity.

A study of patients given first-line metastatic melanoma treatment showed that utilization rates were highest in patients using ipilimumab-containing therapies.

This new analysis of combination treatment with ipilimumab and nivolumab identified factors likely to lead to therapeutic success with the combination.

Patients with BRAF-V600 mutated metastatic melanoma have new treatment options to consider, but scientists are still waiting on additional data to help choose which first-line treatments are best for which patients.

Patients who undergo transplant face an increased risk of skin cancer because of their immunosuppressed status, explained Christine Ko, MD, professor of dermatology and pathology at Yale University.

Patients over the age of 65 had similar rates of serious adverse events, and nearly identical progression-free survival, when compared with younger patients.

Being a full-service dermatology practice helps make patients' lives easier when they have skin cancer, explained Todd Schlesinger, MD, FAAD, director, Dermatology and Laser Center of Charleston and Clinical Research Center of the Carolinas.

Results of a multicenter study showed 43% of patients with advanced melanoma treated with anti–programmed cell death 1 therapy experienced chronic complications.

Autophagy inhibition could help patients who develop resistance to BRAF inhibitors, but a new review shows important questions remain.

Researchers outline factors that may inhibit immune checkpoint inhibitor efficacy in patients with melanoma.

Actinic keratosis outcomes can be affected by several variables, and these lesions need to be treated to minimize progression risk, noted Todd Schlesinger, MD, FAAD, director, Dermatology and Laser Center of Charleston and Clinical Research Center of the Carolinas.

New strategies are currently being investigated to find out how to avoid resistance to immune checkpoint inhibitors and BRAF/MEK inhibitors.

259 Prospect Plains Rd, Bldg H
Cranbury, NJ 08512
© 2025 MJH Life Sciences®
All rights reserved.
