
Providers
Latest News

Craig D. Pederson, principal at Insight Health Care Partners, discussed the evolving landscape of value-based care and challenges to implementation from the provider perspective during his keynote presentation at the National Association of Managed Care Physicians (NAMCP) Spring Managed Care Forum 2023.
Latest Videos

CME Content
More News

Using evidence and being open-minded are 2 strategies for providers shifting to new models of delivering care, says Lee A. Norman, MD, MHS, MBA, senior medical director for Optum Care Kansas City.

The systematic review and meta-analysis showed no correlation between epilepsy surgery and intelligence quotient (IQ) or quality of life (QOL) among younger patients with facial cortical dysplasia (FCD) and long-term epilepsy-associated tumors (LEAT).

In several abstracts presented at this year's American Academy of Neurology Annual Meeting, Mitzi Joi Williams, MD, FAAN, Joi Life Wellness Neurology Clinic, explores multiple sclerosis–related outcomes in diverse patient populations.

Although the 28-day mortality for patients with respiratory failure did not differ between patients with and without respiratory syncytial virus (RSV), complications were more common in those with RSV.

New study data show that prescription patterns differed depending on the type of institution they were prescribed in and the specialty of prescribing physicians.

Lack of knowledge about how skin conditions present on lightly pigmented skin has resulted in diagnostic delays, underassessment, and an impact on quality of life for patients with skin of color.

Lee A. Norman, MD, MHS, MBA, who spoke at The American Journal of Managed Care®’s Institute for Value-Based Medicine® event on population health March 9, 2023, in Kansas City, Missouri, discusses the shift to value-based care.

A new case series highlights characteristics and challenges of this subgroup of patients with myasthenia gravis (MG).

Vaccines were safe in transplant recipients, but their efficacy was affected by immunosuppressive therapies.

Each patient needs to weigh the benefits and risks of genetic testing for melanoma and have someone who can take the time to explain everything, including insurance risks, said Sancy Leachman, MD, PhD, professor and chair in the Department of Dermatology and director of the Melanoma Research Program at the Knight Cancer Institute at Oregon Health and Science University.

Although new guidelines from the CDC say that masks need not be worn in counties where transmission level for COVID-19 isn’t high, many health systems still plan to mask.

The study also found lasting benefits of the supplement for bone density up to age 4.

Recommendations are lacking on strength exercise intensity, tolerability, and adverse effects for patients with severe forms of hemophilia.

James F. Howard, Jr, MD, professor of neurology at the University of North Carolina at Chapel Hill, explains the antibody subtypes associated with this rare neuromuscular disease.

This analysis pooled data from the reSURFACE 1 and reSURFACE 2 trials of tildrakizumab use among patients with moderate to severe plaque psoriasis.

The weight loss surgery may help reverse peripheral neuropathy and improve the stability of cardiovascular autonomic neuropathy and retinopathy in individuals with class II/III obesity.

Not only are Black and Brown communities, as well as neighborhoods with lower socioeconomic status, disproportionately impacted by climate change, but these communities are not as readily able to adapt to mitigate the impacts climate change has on health.

A patient with myasthenia gravis (MG) quickly deteriorated after he woke up from an endovascular procedure.

Patients who were admitted to the hospital for respiratory syncytial virus (RSV) had a higher risk of a complex hospital course and had higher rates of respiratory support compared with patients admitted for influenza.

Many gene therapies promise life-changing effects, but without long-term data it remains to be seen how long the benefits last.

Patients with pulmonary arterial hypertension (PAH) related to connective tissue disorders (CTDs) and patients with PAH related to another condition accrued higher costs and higher health care resource use (HRU) vs patients who had CTD without PH.

While the future is bright with potential for personalized medicine to treat atopic dermatitis, current treatment is still more like trial and error, said Emma Guttman-Yassky, MD, PhD, FAAD, of the Icahn School of Medicine at Mount Sinai.

The patient’s thrombotic thrombocytopenic purpura (TTP)–like symptoms were caused by deficiencies of vitamins B1 and B12.

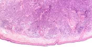
The patient sought care for a mass in her right buttock, but had no tonsillar symptoms.

Pollen may contribute to an increased risk of asthma attacks and asthma-related emergency visits, according to one study.