
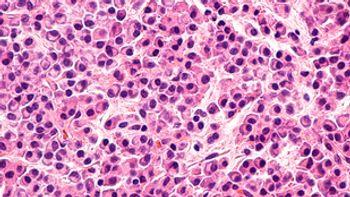
Researchers at the 60th American Society of Hematology Annual Meeting & Exposition presented long-term study results showing that high rates of minimal residual disease–negative complete response were sustained with a median duration of over 4 years among treatment-naïve patients with multiple myeloma.